医药魔方 / 投融项目 / 正文
版权及免责声明
本文为转载内容,不代表医药魔方观点和立场,医药魔方不为文章信息的准确性及真实性负责。若有版权争议,烦请联系医药魔方工作人员(微信号:medicube)。
【WCLC 2019】向世界发声|国产1类新药、第三代EGFR-TKI甲磺酸奥美替尼最新研究结果公布
原文
9月7-10日,2019年第20届世界肺癌大会(WCLC)在西班牙巴塞罗那召开。当地时间9月8日上午,上海市胸科医院陆舜教授报告了“奥美替尼在第一/二代EGFR TKI治疗进展的EGFR T790M突变阳性的局部晚期或转移性NSCLC中的有效性和安全性研究”的最新结果,优异的疗效和安全性研究结果引发广泛关注。
肺癌是发病率和死亡率增长最快的恶性肿瘤之一,在我国患者中有超过40%是EGFR基因突变的非小细胞肺癌(NSCLC)患者。该类患者目前主要使用第一、二代EGFR抑制剂(EGFR-TKI)类靶向药物治疗,较传统化疗优势明显,但1-2年后会出现耐药和疾病进展,其中超过半数是T790M突变所导致。奥美替尼是豪森药业研发的、具有自主知识产权的新型第三代EGFR-TKI,能够不可逆地、高选择性抑制EGFR敏感突变和EGFR T790M耐药突变。通过药物结构的创新设计,避免了非选择性代谢物的产生,同时更易突破血脑屏障,对脑转移患者仍然有效。临床前和临床I期研究已证实奥美替尼疗效确切,且皮肤和胃肠道毒性轻。
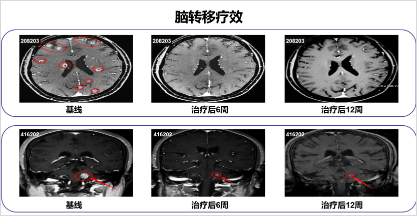
此次大会报告,陆教授介绍了奥美替尼的II期临床试验最新结果。本次研究纳入来自中国大陆和台湾的244例受试者,中位治疗时间为9.5个月(截至2019年5月25日),经独立评审委员会评估,奥美替尼单药治疗客观缓解率(ORR)、疾病控制率(DCR)令人振奋,显示出优异的耐药突变抑制作用;ORR亚组分析表明,奥美替尼在各亚组患者中均有效,其中在脑转移患者中也取得了良好的治疗效果;研究中出现的常见不良反应可耐受,且为临床可控的1或2级水平,3级及以上不良反应发生率和减量、停药率低,研究期间未见患者出现间质性肺病。会后点评环节,世界肺癌大会创始人、连续多届WCLC主席Paul,西班牙著名专家Robust等国际知名专家,高度评价了奥美替尼的研究成果及其与同类国际先进药物在疗效方面的可比拟性。
本奥美替尼新药上市申请于2019年4月获得CDE承办受理,并于5月以“与现有治疗手段相比具有明显治疗优势”被CDE纳入优先审评。值得关注的是,目前最新的数据表明无进展生存期(PFS)获益明显,肿瘤治疗反应有较长的维持时间。
该药物的获批上市,将填补国内自主研发的第三代EGFR-TKI的空白,给临床医生提供强效、安全的新型选择,造福更多的非小细胞肺癌患者。
另据了解,奥美替尼对比吉非替尼一线治疗EGFR敏感突变晚期NSCLC患者的有效性和安全性评价的Ⅲ期临床研究目前正在进行,我们期待该项研究结果能给更多的晚期NSCLC患者带来长期生存和高质量生存的希望。
第十一届中国医药企业家科学家投资家大会暨新中国70周年医药产业发展成就展将于2019年10月8日正式盛大启幕。
点击“阅读原文”报名参会
↓


图1:陆舜教授口头汇报研究结果

图2 肿瘤缓解深度

图3 脑转移病灶治疗效果

图4 安全性概要


*本文版权均属E药经理人所有,如需转载请在后台留言,经允许后方可转载,并在文首注明来源、作者。

机器翻译
扫码实时看更多精彩文章
