真的逆转生理衰老了!全球第一个人体试验表明,二甲双胍等三个药物能促进胸腺重生,改善免疫,让生理年龄减少2.5岁丨临床大发现

人类第一次距离逆转衰老这么近。
上周四,来自加州大学洛杉矶分校和斯坦福大学等7个研究机构的科学家,联合发表了一项重要临床研究成果。
9名年龄在51~65岁之间的志愿者,连续使用生长激素、脱氢表雄酮(DHEA)和二甲双胍,一年之后平均表观遗传学年龄(常用来预测生理年龄)减少了2.5岁,免疫系统也有恢复活力的迹象[1]。
据了解,这是第一个发现药物或可以逆转人体表观遗传学年龄的临床研究[2]。
对于这个结果,本研究的参与者加州大学洛杉矶分校遗传学家Steve Horvath表示非常吃惊[2],“我们一开始认为,这三个药物顶多会减缓表观遗传学层面的衰老速度,没想到竟然是逆增长。这简直太科幻了。”

▲ 该图片由mariwa-zu在Pixabay上发布
对表观遗传学不是很了解的朋友可能要问了,“看你们说的这么牛,这个表观遗传学年龄到底是个啥啊?”
那本奇点糕就先给大家说道说道。
我们都知道衰老是个非常复杂的过程,可以说每个人衰老的方式都不一样,而且有很多方式可以加速或者延缓衰老[3,4]。既然科学家能知道我们是老的更快了,还是更慢了,我们体内肯定是存在一些能反应衰老速度的物质。例如DNA两端的端粒长度[5],还有一些与人体代谢和DNA修复相关的基因的表达[6,7]等等。
近年来,科学家发现DNA的表观遗传学修饰,尤其是DNA的甲基化,与衰老关系密切[8],甚至可以量化衰老的速度[9]。Steve Horvath是这个研究领域的佼佼者,他已经找到了通过DNA表观遗传变化准确预测人类生理年龄的方法[10]。

▲ Steve Horvath(图源:Nature)
当然了,通过表观遗传学预测的生理年龄,可能大于也可能小于实际年龄。简单地说,如果生理年龄大于实际年龄,那就是“未老先衰”,身体不行了;如果是生理年龄小于实际年龄,那就是“返老还童”,充满活力。
我们暂且先把Steve Horvath放在一边,因为今天这项研究得从研究的发起人免疫学家Gregory Fahy说起。作为一个免疫学家,1950年出生的Gregory Fahy非常有极客精神。
为什么这么说呢?因为Gregory Fahy在阅读文献资料的时候发现,把分泌生长因子的细胞移植到小鼠身上之后,小鼠的免疫系统竟然变得更有活力[11]。这简直是太迷人了。
让Gregory Fahy又惊又喜的是,居然没有科学家开展相关人体研究。于是在1996年,时年46岁的Gregory Fahy,用生长激素在自己身上做起了试验。由于已经有研究证实生长激素会诱导高胰岛素血症[12],有导致糖尿病的风险,于是他又给自己加了一味治疗糖尿病的药——脱氢表雄酮。

▲ Gregory Fahy(图源:interveneimmune.com)
接受完长达一个月的生长激素和脱氢表雄酮的治疗之后,Gregory Fahy发现自己的胸腺再生了。
这个结果那真是厉害了。
我们都知道这胸腺可不是一般的地方,它可是T细胞的发源地。这个位置的重要性就不言而喻了吧。胸腺这个组织还有个特点,退化开始的特别早,就拿人类来说,大约在1岁的时候,我们的胸腺就开始退化了[13]。退化的结果就是胸腺上皮组织被脂肪组织取代,导致胸腺中T细胞输出减少,大约每16年胸腺产生T细胞的速度就下降一半[14]。
这下你应该明白为什么老年人的免疫力低下了吧。实际上,近年来越来越多的研究表明,胸腺的退化与癌症、传染病、自免病和动脉粥样硬化等多种疾病有关。去年甚至有研究指出,胸腺退化导致的免疫衰退才是癌症发病率增加的主要原因[15]。

▲ 免疫退化与癌症发病之间的关系[15]
胸腺的地位如此重要,而生长激素居然能让胸腺再生。Gregory Fahy无论如何不会放弃这个好机会。经过多年的准备,Gregory Fahy在2015年发起了一项名为TRIIM(胸腺再生,免疫重建和胰岛素缓解)的临床研究。
TRIIM研究的目的是想研究重组人生长激素能否预防或逆转51-65岁健康男性的免疫衰老。与之前在自己身上开展的实验不同的是,这一回除了生长激素和脱氢表雄酮之外,还加入了素有“神药”之称的降糖药二甲双胍。虽然二甲双胍抗衰老的名声在外,但是没有研究认为它可以让胸腺再生。
此外,Gregory Fahy最后还拉上了遗传学大牛Steve Horvath,希望能从表观遗传学的角度看看这个新疗法到底能让老年人获益多少。

▲ 该图片由Mabel Amber, still incognito...在Pixabay上发布
在获得有关部门的批准之后,Gregory Fahy和他的团队就开始了研究。一共招募了10名年龄在51-65岁之间的成年健康男性。然后采集血样,全面评估每个人的健康水平,并完成胸腺的MRI成像,记录下胸腺的初始状态。随后就是按照试验流程给药,采血,做记录。整个治疗过程持续了1年的时间。
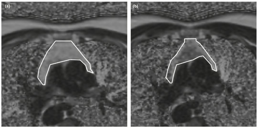
总体来看,整个研究是安全的,只有轻微的副作用,期间有1人因心动过缓退出试验。余下9人都顺利完成试验,胸腺的MRI密度明显改善,无脂肪分数显著增加,也就是说脂肪是减少了的。而且,有7名志愿者胸腺中累积的脂肪被再生的胸腺组织所取代。

▲ 治疗前的胸腺(a)脂肪多;治疗后的胸腺(b)脂肪少
此外,他们还观察到免疫细胞和细胞因子都在往好的方向发展。借助于Steve Horvath开发表观遗传学寿命预测方法,研究人员发现,接受一年的治疗之后,所有志愿者的平均生理年龄竟然比1年前还小了1.5岁,站在试验结束的时间来看的话,就是生理学年龄降低了2.5岁。
而且,即使是在试验停止半年之后再分析志愿者的血液样本,之前的治疗对身体的影响仍然存在。

▲ 治疗对志愿者各个指标的影响
在研究人员看来,这个研究第一次表明,人体的表观遗传学衰老可以通过现有的手段逆转,胸腺也可以获得再生。不过他们也承认这个研究涉及人数非常少,他们会在接下来的时间里开展更大规模的临床研究。
编辑神叨叨
需要再次强调的是:这是个早期探索性临床研究,三种药物的联合使用有明确的副作用,大家一定不要自行尝试。我们还是等待更大规模的临床研究结果吧。
参考资料:
[1].Gregory M. Fahy, Robert T. Brooke, et al. Reversal of epigenetic aging and immunosenescent trends in humans[J]. Aging Cell, 2019.
[2].https://www.nature.com/articles/d41586-019-02638-w
[3].Austad S N. Why women live longer than men: Sex differences in longevity[J]. Gender Medicine, 2006, 3(2): 79-92.
[4].Blair S N, Kohl H W, Paffenbarger R S, et al. Physical fitness and all-cause mortality: a prospective study of healthy men and women[J]. JAMA, 1989, 262(17): 2395-2401.
[5].Harley C B, Futcher A B, Greider C W, et al. Telomeres shorten during ageing of human fibroblasts[J]. Nature, 1990, 345(6274): 458-460.
[6].Fraser H B, Khaitovich P, Plotkin J B, et al. Aging and Gene Expression in the Primate Brain[J]. PLOS Biology, 2005, 3(9): 1653-1661.
[7].Zahn J M, Poosala S, Owen A B, et al. AGEMAP: A Gene Expression Database for Aging in Mice[J]. PLOS Genetics, 2005, 3(11): 2326-2337.
[8].Fraga M F, Esteller M. Epigenetics and aging: the targets and the marks[J]. Trends in Genetics, 2007, 23(8): 413-418.
[9].Hannum G, Guinney J, Zhao L, et al. Genome-wide Methylation Profiles Reveal Quantitative Views of Human Aging Rates[J]. Molecular Cell, 2013, 49(2): 359-367.
[10].https://www.nature.com/news/biomarkers-and-ageing-the-clock-watcher-1.15014
[11].Kelley K W, Brief S, Westly H J, et al. GH3 pituitary adenoma cells can reverse thymic aging in rats.[J]. Proceedings of the National Academy of Sciences of the United States of America, 1986, 83(15): 5663-5667.
[12].Marcus R, Butterfield G E, Holloway L, et al. Effects of Short Term Administration of Recombinant Human Growth Hormone to Elderly People[J]. The Journal of Clinical Endocrinology and Metabolism, 1990, 70(2): 519-527.
[13].Murray J M, Kaufmann G R, Hodgkin P D, et al. Naive T cells are maintained by thymic output in early ages but by proliferation without phenotypic change after age twenty[J]. Immunology and Cell Biology, 2003, 81(6): 487-495.
[14].Douek D C, Mcfarland R D, Keiser P H, et al. Changes in thymic function with age and during the treatment of HIV infection[J]. Nature, 1998, 396(6712): 690-695.
[15].Palmer S, Albergante L, Blackburn C, et al. Thymic involution and rising disease incidence with age[J]. Proceedings of the National Academy of Sciences of the United States of America, 2018, 115(8): 1883-1888.

本文作者 | BioTalker
这么好看,点个在看吧
扫码实时看更多精彩文章


